¿Qué es Deep Brain Reorienting (DBR)?

Es una técnica terapéutica desarrollada por Frank Corrigan Y Christie Sands, diseñada para ayudar a personas que han experimentado trauma o estrés emocional intenso. Se basa en la neurociencia y se enfoca en cómo el cerebro procesa y almacenas memorias traumáticas.

Fue desarrollado progresivamente por el Dr. Corrigan, Psiquiatra británico, que dio a conocer las primeras aplicaciones clínicas en 2018 con algunos artículos científicos al respecto. Pero hasta 2022 se empezaron a hacer entrenamientos formales para profesionales de salud mental y hasta 2024 publicaron su primer libro “Deep Brain Reorienting” acompañado con evidencia de los análisis clínicos controlados y aleatorizados de la Psiquiatra Ruth Lanius

- Lanius, R., Corrigan, F., & Sands, C. (2020). Randomized controlled trial of DBR versus EMDR for dissociative PTSD. Trauma Psychology, 15(2), 112-130. https:// pmc.ncbi.nlm.nih.gov/articles/PMC10431732/

- Lanius, R. A., Terpou, B. A., & McKinnon, M. C. (2020). The sense of self in the aftermath of trauma: Lessons from the default mode network in posttraumatic stress disorder. European Journal of Psychotraumatology, 11(1), 1807703. https://pmc.ncbi.nlm.nih.gov/articles/PMC7594748/


¿Cómo funciona DBR?

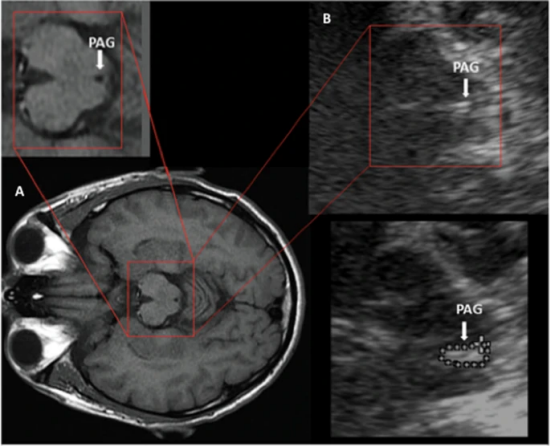
Deep Brain Reorienting (DBR) es una intervención terapéutica que actúa directamente sobre las respuestas neurofisiológicas automáticas asociadas a situaciones de amenaza, con especial énfasis en los mecanismos regulados por el tronco encefálico, estructura encargada de las respuestas instintivas de supervivencia.

El abordaje terapéutico se centra en identificar y procesar el shock preafectivo (la activación neurobiológica que ocurre antes de que la experiencia se manifieste a nivel consciente, emocional o cognitivo), permitiendo así la descarga adaptativa de patrones de respuesta que suelen estar generalizados en múltiples áreas de la vida del paciente.

DBR no requiere la reexperimentar detallada del evento traumático, lo que lo convierte en un enfoque menos intrusivo y más fisiológico. Su metodología es sutil y menos directiva, ya que prioriza la autorregulación natural del sistema nervioso sobre la reinterpretación cognitiva. Es una terapia centrada en el cuerpo, de “adentro hacia arriba” como explicaría Siegel.

DBR se utiliza en el tratamiento de traumas complejos y condiciones como el trastorno de estrés postraumático (TEPT), así como en casos de ansiedad crónica y depresión. La técnica es particularmente útil cuando los enfoques tradicionales no logran desbloquear completamente los recuerdos traumáticos o la activación emocional.

Preguntas más Frecuentes

EMDR: Requiere recordar el trauma mientras haces movimientos oculares y bilaterales.

Terapia de exposición: Implica enfrentar gradualmente recuerdos dolorosos.

DBR: Evita revivir el trauma. Se enfoca en interrumpir la respuesta física de estrés antes de que llegue a la conciencia. Es como "desconectar" un circuito de alarma hiperactiva en el cerebro.

Aunque tiene un nombre muy rimbombante DBR es menos abrumador que otras terapias porque no se centra en el contenido emocional del trauma. Muchos pacientes describen la sesión como "suave" o incluso "liberadora", ya que trabajamos con respuestas fisiológicas (ej.: tensión muscular) en lugar de recuerdos explícitos. No se utiliza ningún equipo adicional, aunque con ese nombre podría parecer lo contrario.

Es efectivo para ambos. Los traumas antiguos suelen crear patrones de respuesta automática (ej.: ansiedad crónica). DBR ayuda a "actualizar" esas respuestas, aunque el evento haya ocurrido hace años.

Algunos pacientes notan cambios en 1–3 sesiones (sobre todo en síntomas físicos como insomnio o hipervigilancia). Para traumas complejos, puede requerir más tiempo (8–12 sesiones). Depende de esté el sistema nervioso.

Sí. DBR es compatible con fármacos (como antidepresivos) y otras terapias (ej.: cognitivo-conductual). De hecho, muchos terapeutas lo usan como complemento para casos donde otras terapias no han sido suficientes.

Es raro, pero algunos pacientes reportan:

  • - Fatiga leve después de la sesión (por la liberación de tensión acumulada).
  • - Sueños vívidos (indicio de que el cerebro está reprocesando información).

Estos efectos son temporales y parte del proceso.

  • - Experimenta somatizaciones (dolores sin causa médica clara).
  • - Otras terapias le han parecido "demasiado intensas".
  • - Sensación de que el trauma "vive en el cuerpo" (ej.: sobresaltos frecuentes, rígidez, vacíamiento).
 

Agendar una Cita con la Psicóloga Makeilyn

Si estás listo(a) para comenzar tu proceso de sanación completa el siguiente formulario online y solicita una cita con la Psicóloga Makeilyn Chaviano.

Agendar Cita Online